1 背景
Apoe编码载脂蛋白E,一种与脂质颗粒相关的蛋白质,负责运输乳糜微粒。它其特定的肝脏和外周细胞受体结合,对富含甘油三酯的脂蛋白成分的正常分解代谢至关重要。ApoE是极低密度脂蛋白(VLDL) 和高密度脂蛋白(HDL) 的组成部分,参与胆固醇的运输。和人的脂蛋白谱相反,小鼠体内HDL较高,而低密度脂蛋白(LDL)含量较低,其胆固醇主要存在于HDL中。该基因的突变会导致家族性脂蛋白血症,或III型高血脂蛋白血症(HLP III)。而动脉粥样硬化和阿尔茨海默症也与该基因的多态性密切相关。
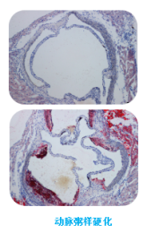
纯合Apoe敲除小鼠缺乏APOE蛋白,小鼠发育正常,但显示总血浆胆固醇水平显着增加和自发性动脉粥样硬化病变。该模型可用于研究APOE在脂质代谢、动脉粥样硬化和神经损伤中的作用,以及研究可改变动脉粥样硬化过程的干预疗法。
2 动物信息
品系:APOE-/-小鼠
性别:雄性
周龄:8周
体重:18-22g
3 造模操作流程
1)动物适应性饲养7天,饲养环境温度21-27℃,相对湿度40-70%;
2)动物采用高脂饲料喂养,持续12-16周。

模型鉴定
APOE小鼠动脉粥样硬化病变以主动脉流出道最早出现,逐渐发展到主动脉弓部及头臂干分支,而且头臂干部位是后期斑块不稳定易发部位,后期严重的病变才会累及主动脉胸腹部。因此,主动脉流出道冰冻切片和主动脉en face油红O染色分析是评价动脉粥样硬化模型病变程度的公认标准。


